FB pixel
before and after

Experience the difference!

Before and After

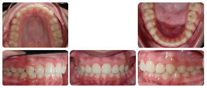
Incredible results and inspiring journeys; see some of our patients’ before and after photos the next time you visit our practice.


See Our Smile Stories!

Learn More

Let's Get Started

Schedule an Appointment
Contact Us!
call email